Neurologist without medications When medications fail, there are better options available

What does MS (Multiple Sclerosis) look like on brain MRI? Avoid wrongful diagnosis!

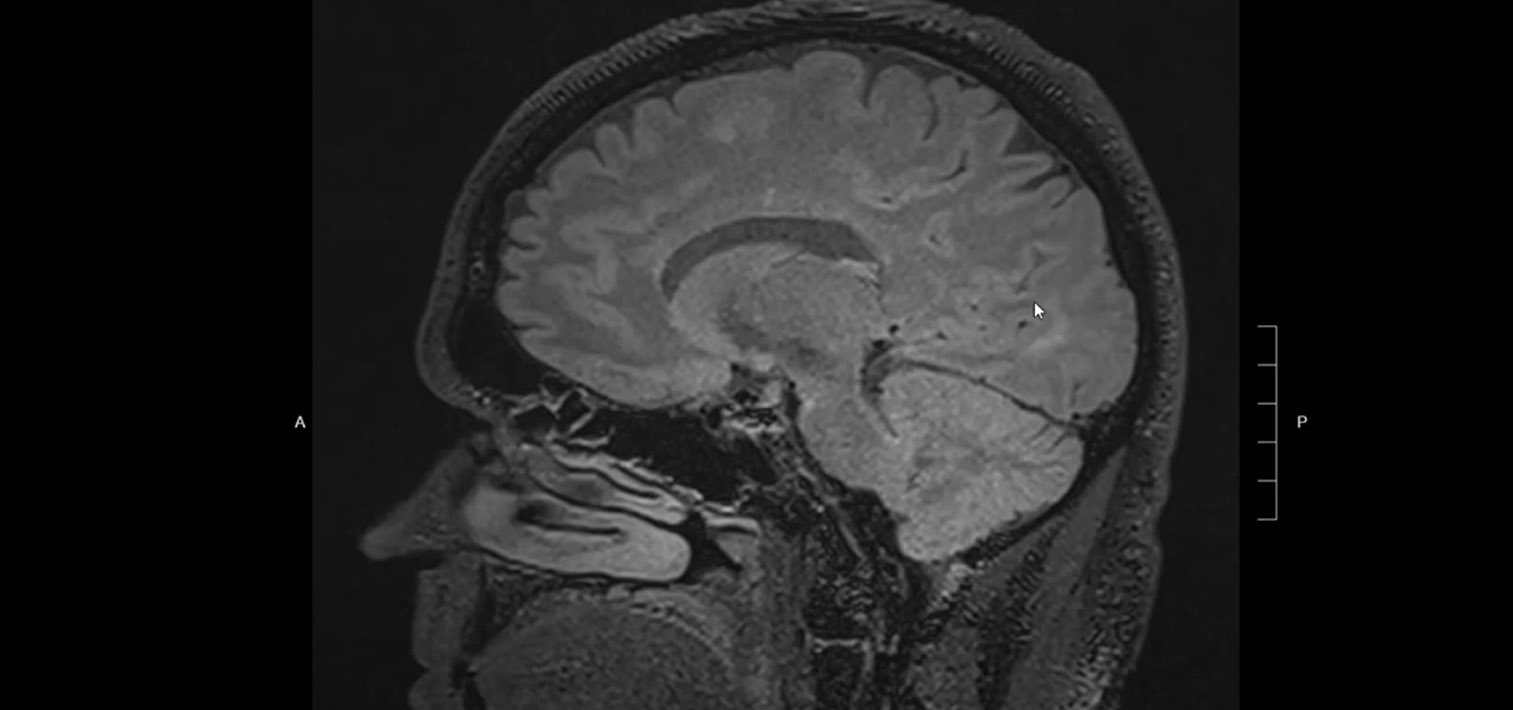
Dr. Elahi briefly discusses typical MRI findings in multiple sclerosis (MS) and how these findings can be differentiated from non-MS findings such as in small vessel ischemia or migraine pathology. Characteristics of MS lesions help avoid misdiagnosis and/or over-diagnosis of MS in patients who may be suffering from other disorders.

Call us to find out more

Information about brain rejuvenation therapies.

;